![]() | ![]() | ![]() |
| | ||
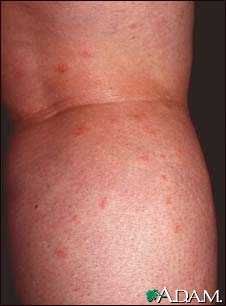
Insect bites on the legs

Insect bites may be grouped, raised (papular), hive-like (urticarial) and have a surrounding halo. Occasionally a central depression, or punctum, can be seen.
Update Date: 2/19/2008 Updated by: John E. Duldner, Jr., MD, MS, Assistant Professor of Emergency Medicine, Director of Research, Department of Emergency Medicine, Akron General Medical Center and Northeastern Ohio Universities College of Medicine. Review provided by VeriMed Healthcare Network. Also reviewed by David Zieve, MD, MHA, Medical Director, A.D.A.M., Inc.
