Medical Encyclopedia

Medical Encyclopedia

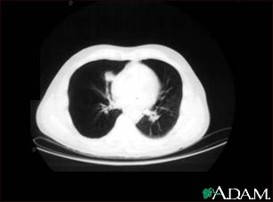
Lung nodule, right lower lung - CT scan

Lung nodule, right lower lung - CT scan

A CT scan showing a mass in right lower chest near the heart (left side of photograph).

Update Date: 8/29/2008

Updated by: Sean O. Stitham, MD, private practice in Internal Medicine, Seattle, WA; Benjamin Medoff, MD, Assistant Professor of Medicine, Harvard Medical School, Pulmonary and Critical Care Unit, Massachusetts General Hospital. Also reviewed by David Zieve, MD, MHA, Medical Director, A.D.A.M., Inc.

A.D.A.M. Logo

The information provided herein should not be used during any medical emergency or for the diagnosis or treatment of any medical condition. A licensed physician should be consulted for diagnosis and treatment of any and all medical conditions. Call 911 for all medical emergencies. Links to other sites are provided for information only -- they do not constitute endorsements of those other sites. Copyright 1997-2009, A.D.A.M., Inc. Any duplication or distribution of the information contained herein is strictly prohibited.