![]() | ![]() | ![]() |
| | ||
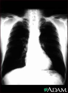
Bronchial cancer - chest X-ray

This is a chest x-ray of a person with bronchial cancer. This is a front view. The lungs are the two dark areas. The heart and other structures are white areas visible in the middle of the chest. The light areas that appear as subtle branches extending from the center into the lungs are cancerous.
Update Date: 9/4/2008 Updated by: Sean O. Stitham, MD, private practice in Internal Medicine, Seattle, Washington; and James R. Mason, MD, Oncologist, Director, Blood and Marrow Transplantation Program and Stem Cell Processing Lab, Scripps Clinic, Torrey Pines, California. Also reviewed by David Zieve, MD, MHA, Medical Director, A.D.A.M., Inc.
