![]() | ![]() | ![]() |
| | ||
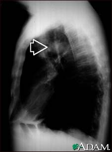
Pulmonary mass - side view chest X-ray

This individual has a mass in the upper part of the lung. Although the cause of the mass can be suspected, based on this person's history, there are many diseases that can produce lung lesions.
Update Date: 8/29/2008 Updated by: Sean O. Stitham, MD, private practice in Internal Medicine, Seattle, WA; Benjamin Medoff, MD, Assistant Professor of Medicine, Harvard Medical School, Pulmonary and Critical Care Unit, Massachusetts General Hospital. Also reviewed by David Zieve, MD, MHA, Medical Director, A.D.A.M., Inc.
