Medical Encyclopedia

Medical Encyclopedia

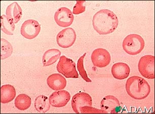
Red blood cells, sickle and pappenheimer

Red blood cells, sickle and pappenheimer

This photomicrograph of red blood cells (RBCs) shows both sickle-shaped and pappenheimer bodies.

Update Date: 8/10/2008

Updated by: David C. Dugdale, III, MD, Professor of Medicine, Division of General Medicine, Department of Medicine, University of Washington School of Medicine. Also reviewed by David Zieve, MD, MHA, Medical Director, A.D.A.M., Inc.

A.D.A.M. Logo

The information provided herein should not be used during any medical emergency or for the diagnosis or treatment of any medical condition. A licensed physician should be consulted for diagnosis and treatment of any and all medical conditions. Call 911 for all medical emergencies. Links to other sites are provided for information only -- they do not constitute endorsements of those other sites. Copyright 1997-2009, A.D.A.M., Inc. Any duplication or distribution of the information contained herein is strictly prohibited.