![]() | ![]() | ![]() |
| | ||
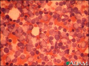
Chronic myelocytic leukemia

Low power view showing marked hypercellularity with a broad-spectrum of myeloid and erythroid cell types and marked myeloid hyperplasia.
Update Date: 7/11/2008 Updated by: David C. Dugdale, III, MD, Professor of Medicine, Division of General Medicine, Department of Medicine, University of Washington School of Medicine; and James R. Mason, MD, Oncologist, Director, Blood and Marrow Transplantation Program and Stem Cell Processing Lab, Scripps Clinic, Torrey Pines, California. Also reviewed by David Zieve, MD, MHA, Medical Director, A.D.A.M., Inc.
