Medical Encyclopedia

Medical Encyclopedia

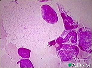
Niemann-Pick foamy cells

Niemann-Pick foamy cells

Neimann-Pick is a disease in which excess material is stored inside cells (metabolic storage disease). These cells are referred to as "foam cells" because of their foamy or soap-suds appearance.

Update Date: 1/30/2007

Updated by: Brian Kirmse, MD, Mount Sinai School of Medicine, Department of Human Genetics, New York, NY. Review provided by VeriMed Healthcare Network.

A.D.A.M. Logo

The information provided herein should not be used during any medical emergency or for the diagnosis or treatment of any medical condition. A licensed physician should be consulted for diagnosis and treatment of any and all medical conditions. Call 911 for all medical emergencies. Links to other sites are provided for information only -- they do not constitute endorsements of those other sites. Copyright 1997-2009, A.D.A.M., Inc. Any duplication or distribution of the information contained herein is strictly prohibited.