Medical Encyclopedia

Medical Encyclopedia

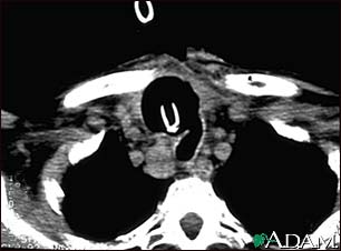
Thyroid cancer - CT scan

Thyroid cancer - CT scan

This CT scan of the upper chest (thorax) shows a malignant thyroid tumor (cancer). The dark area around the trachea (marked by the white U-shaped tip of the respiratory tube) is an area where normal tissue has been eroded and died (necrosis) as a result of tumor growth.

Update Date: 3/21/2008

Updated by: Stephen Grund, M.D. Ph.D., Chief of Hematology/Oncology and Director of the George Bray Cancer Center at New Britain General Hospital, New Britain, CT. Review provided by VeriMed Healthcare Network.

A.D.A.M. Logo

The information provided herein should not be used during any medical emergency or for the diagnosis or treatment of any medical condition. A licensed physician should be consulted for diagnosis and treatment of any and all medical conditions. Call 911 for all medical emergencies. Links to other sites are provided for information only -- they do not constitute endorsements of those other sites. Copyright 1997-2009, A.D.A.M., Inc. Any duplication or distribution of the information contained herein is strictly prohibited.