Medical Encyclopedia

Medical Encyclopedia

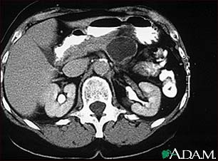
Pancreatic, cystic adenoma - CT scan

Pancreatic, cystic adenoma - CT scan

A CT scan of the upper abdomen showing a large cyst in the pancreas (cystic adenoma of the pancreas) seen on the upper right side of the picture.

Update Date: 1/24/2007

Updated by: Stuart Bentley-Hibbert, MD, PhD, Department of Radiology, Weill Cornell Medical Center, New York, NY. Review provided by VeriMed Healthcare Network.

A.D.A.M. Logo

The information provided herein should not be used during any medical emergency or for the diagnosis or treatment of any medical condition. A licensed physician should be consulted for diagnosis and treatment of any and all medical conditions. Call 911 for all medical emergencies. Links to other sites are provided for information only -- they do not constitute endorsements of those other sites. Copyright 1997-2009, A.D.A.M., Inc. Any duplication or distribution of the information contained herein is strictly prohibited.