![]() | ![]() | ![]() |
| | ||
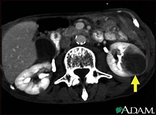
Kidney metastases, CT scan

A CT scan of the middle abdomen showing metastasis (cancer that has spread) in the left kidney in a patient with carcinoma of the lung. Note the large dark circular tumor in the kidney on the right side of the picture.
Update Date: 6/10/2008 Updated by: David C. Dugdale, III, MD, Professor of Medicine, Division of General Medicine, Department of Medicine, University of Washington School of Medicine; and James R. Mason, MD, Oncologist, Director, Blood and Marrow Transplantation Program and Stem Cell Processing Lab, Scripps Clinic, Torrey Pines, California. Also reviewed by David Zieve, MD, MHA, Medical Director, A.D.A.M., Inc.
